Dental Implants In Melbourne's CBD
What are Dental Implants
Dental implants are one of the most significant developments in modern dentistry, and they have revolutionised the potential to replace missing teeth.
What makes implants so innovative is that they have the ability to integrate with the jaw bone, giving a very predictable, long-lasting and aesthetic solution to tooth-loss.
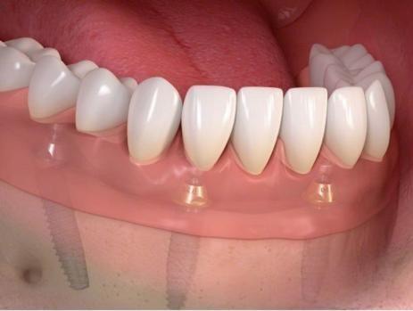
Implant posts are constructed with Titanium, which encourages seamless integration into bone due to its great biocompatibility. The implant (screw) itself acts as the support for a false tooth (crown) or multiple teeth (bridge) to replace the missing tooth or teeth.
Dental implants offer a lasting resolution for the spaces left by absent or removed teeth, bridging these voids to revitalise both the function and aesthetics of your smile. Addressing these gaps is essential for preventing the drift of neighbouring teeth, which could lead to misalignment and further spacing issues in the future.



Why Choose Dental Implants?
Unmatched Benefits
- Natural Look and Feel: Each dental implant looks and acts like a real tooth.
- Bone Preservation: Prevents jawbone deterioration that typically follows tooth loss.
- Enhanced Functionality: Regain the ability to chew and speak without discomfort.
- Longevity: With proper care, dental implants can last a lifetime.
- Improved Oral Health: Unlike bridges, adjacent teeth remain untouched during the implant preparation process.
Dental implants not only restore the aesthetics of your smile but also maintain your oral health by preventing bone resorption and bite misalignment.
What to Expect
Step-by-Step Guide to Dental Implants
- Initial Consultation: We conduct a thorough examination including X-rays and 3D scans to determine suitability.
- Implant Placement: A Titanium screw is surgically inserted into your jawbone. This will serve as the root for your new tooth.
- Healing Phase: Osseointegration occurs over a few months, during which the implant fuses with your jawbone.
- Abutment Placement: A connector linking the implant to the future crown is attached.
- Crown Placement: Finally, a custom-made crown is placed, completing your new tooth.
Healing and Recovery
Post-surgery, you may experience minor swelling, bruising, and discomfort, which can be managed with medication. Full healing and bone integration may take up to six months.
Patient Considerations and Suitability
While dental implants are a fantastic option for many, they are not suitable for everyone. Ideal candidates are those with good oral health and sufficient bone density. Heavy smokers or those with severe gum diseases may need to explore other options.
To read more on treatment information and considerations, click here!